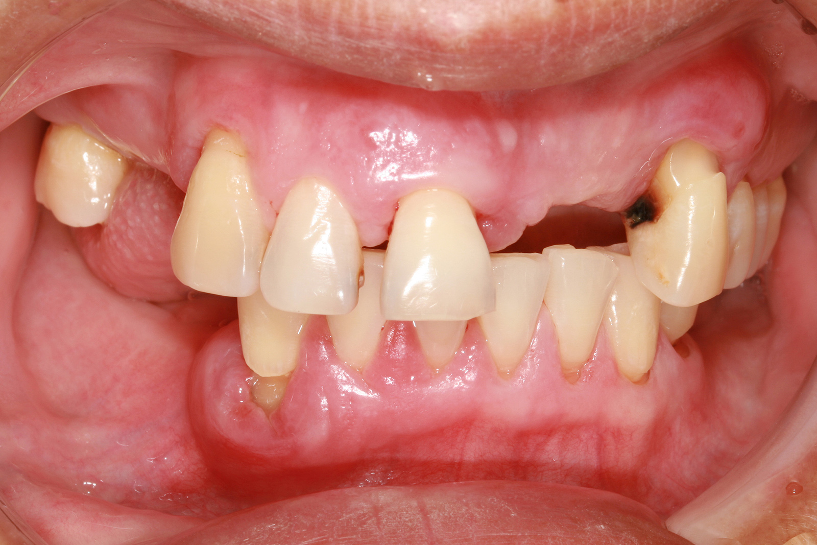
ボロボロの歯の治療

24時間WEB予約
ご予約・お問い合わせ
06-6866-8230
キービジュアル

ボロボロでも
もう無理だと思わず
当院頼ってください

  • 過去のトラウマで歯医者が怖い
  • 口の中を見られたくない
  • 治療中の痛みが耐えられない
  • 望まない治療をされそうで不安
このような不安やお悩みをお持ちの方でも、
安心してご来院いただける歯医者を目指しています。

歯医者の「痛い」「怖い」「不信感」を解消

歯がボロボロになってしまった患者さんには、それぞれに至った背景や理由があります。体質も関係しますが、多くの場合は、過去の治療で感じた強い痛みやつらい経験がトラウマとなり、歯科医院への通院そのものが苦手になっているケースがほとんどです。その結果、治療を後回しにしてしまった方も少なくありません。

次のようなご経験に、心当たりはありませんか?
  • 治療中に感じる独特の痛みがどうしても我慢できなかった
  • 歯科医師が一方的に話を進め、自分の悩みや希望を十分に聞いてもらえなかった
  • 治療方針の説明が不十分で、内容を理解しないまま処置が進んでしまった
  • 不必要な治療を受けたと感じた……などなど
これらは、歯科医院側の配慮や姿勢によって改善できるものです。患者さんご自身に責任があるわけではありません

当院では、患者さんが安心して治療を受けられるよう、次のような取り組みを徹底しています。
  • 治療時の痛みに配慮し、恐怖心を和らげる工夫
  • 丁寧でわかりやすい説明を行い、不信感を残さない対応
  • プライバシーに十分配慮した診療環境の整備
  • 精密な治療を支える設備・医療機器の充実
以下では、これらの取り組みについて、さらに詳しくご紹介します。

「痛くない」「怖くない」を追求した歯科治療

歯科治療には、「痛い」「不快」「怖い」といったマイナスのイメージをお持ちの方も少なくありません。当院では、そうした不安や恐怖心をできる限り取り除くため、複数の工夫と設備を組み合わせ、痛みや不快感を最小限に抑えた治療を徹底しています。

取り組み①表面麻酔による注射時の負担軽減

注射針を刺す部位に、あらかじめ麻酔薬を浸透させる表面麻酔を行います。これにより、針を刺す際の刺激を和らげ、注射時の痛みを大幅に軽減します。

取り組み②極細の注射針を使用

注射針は細いほど痛みを感じにくくなります。当院では、医療機関で使用されている中でももっとも細い注射針を採用し、「チクッ」とした痛みを極力抑えています。

取り組み③麻酔液を体温に近づけて使用

体温と麻酔液の温度差は、注入時の痛みの原因になります。
そのため当院では、お湯で麻酔液を温め、違和感の少ない状態で使用しています。

取り組み④電動麻酔注射器による安定した注入

麻酔液を一気に注入すると歯肉が急に膨らみ、痛みにつながります。

当院では、一定の速度と圧力で注入できる電動麻酔注射器を使用し、刺激を抑えた麻酔を行っています。

取り組み⑤痛みを感じにくい部位から段階的に麻酔

お口の中には、痛みを感じにくい場所と感じやすい場所があります。当院では、まず感覚の鈍い部位から麻酔を行い、効いてきた段階で徐々に敏感な部位へ進めていくことで、注射そのものの痛みをほとんど感じさせずに治療を開始します。

コラム「5倍速コントラ」で治療時の不快感を軽減します

一般的な歯科医院では、歯を削る際に「タービン」と呼ばれる高速回転ドリルが使用されており、その際に発生する高音や振動を不快に感じる患者さんも少なくありません。当院では、こうした治療中のストレスを少しでも抑えるため、従来のタービンではなく「5倍速コントラ」を採用しています。5倍速コントラは、歯を削る際の音や振動が抑えられるため、不快感が軽減され、落ち着いた状態で治療を受けていただけます。

不安を軽減「笑気ガス」で治療時の緊張を軽減します

歯科治療に対する恐怖心や緊張が強い方には、「笑気ガス」を用いた治療にも対応しています。笑気ガスは亜酸化窒素と呼ばれる気体で、吸入することで気持ちがリラックスし、痛みや不安を感じにくくなる効果が期待できます。特に、歯科治療が苦手な方や、口の中に器具が入ることで嘔吐反射が出やすい方などを対象に、安心して治療を受けていただける環境を整えています。

「説明責任」を果たし「必要な治療」だけ行う

当院では、治療方針は患者さんご自身が最終的に決めることを大切にしています。そのうえで、歯科医師としてお口の状態に合わせた治療法をご提案し、必要に応じて複数の選択肢も提示します。

その際は「なぜ必要か」「どんなメリットがあるか」をわかりやすく説明し、ご納得いただいたうえで治療を進めます。
不安や疑問があれば、どんなことでも遠慮なくご相談ください。

高水準の施術で「フルマウス治療」

ボロボロの歯を改善するには、お口の様々な問題を総合的に解消し、健康的な歯の状態を取り戻すフルマウス治療」が求められます。

当院では、そのために必要な虫歯治療根管治療歯周治療入れ歯インプラントといった歯科治療を、すべてにおいて高水準で行える人材と環境が整っております
どんな状況であっても、患者さんに寄り添い、最善の治療をご提案いたしますので、安心してご来院ください。

精密機器の充実により、より確実で安心できる歯科治療を実現

質の高い歯科治療を行うためには、歯科医師の経験や技術が欠かせません。しかし、人の目や感覚だけではどうしても対応が難しい場面が存在するのも事実です。

そうした限界を補い、診断や治療の精度をさらに高めてくれるのが精密機器です。
精密機器を適切に活用することで、病変の早期発見や治療の安全性向上、さらには再発リスクの軽減にもつながり、患者さんにとって大きなメリットがあります。

ここでは、当院で導入している精密機器の一部をご紹介します。

CT

CT」は、歯や顎の骨の状態を立体的に撮影できる画像診断装置です。通常のレントゲンでは確認が難しかった骨の厚みや歯の埋まり具合、神経や血管の位置などを三次元で把握できるため、より正確な診断と安全性の高い治療計画の立案が可能になります。



マイクロスコープ

マイクロスコープ」は、患部を約20倍まで拡大して観察できる歯科用顕微鏡です。肉眼では見逃してしまうような細かな部分まで確認できるため、治療の精度が大きく向上し、より確実で質の高い処置につながります。

光学スキャナー

光学スキャナー」は、小型カメラでお口の中を撮影するだけで、歯の形状を高精度な3Dデータとして取得できる装置です。従来のような型取り材を使う必要がなく、短時間で負担の少ない型取りが可能です。詰め物や被せ物の製作矯正治療のシミュレーションなど、さまざまな治療に幅広く活用しています。

最後に──「歯がボロボロ」で悩んでいる患者さんへお伝えしたいこと

歯のトラブルは、悪化すると身体全体のバランスや心の健康にも影響を及ぼすことがあります。実際に、歯がボロボロになってしまった方の多くは噛み合わせが乱れ、その結果として「頭痛」や「肩こり」「腰痛」など、全身の不調につながるケースも少なくありません。

また、歯周病はお口の病気に限らず、次のような重篤な疾患との関連も指摘されています。
  • 糖尿病
  • 心筋梗塞
  • 脳梗塞
  • 肥満
  • 早産/低体重児出産
さらに、心への影響も見逃せません。
歯の状態が気になって人前で話しづらくなったり、食事を心から楽しめなくなったり、上手く笑えなくなったりすると、生活の質は大きく低下します。こうした状態が続けば、気持ちの落ち込みにつながります。

しかし、たとえ歯が大きく傷んでいても、適切な治療によって見た目機能の回復は十分に可能です。

もし一人で悩んでいるなら、ぜひ一度ご相談ください。当院では無理に治療を勧めることはありません。まずは医院や担当医の雰囲気を知るためのご来院でも構いません。気負わずお越しいただければと思います。

初診「個別」相談へのご案内

当院では、患者さんが抱えていらっしゃるお口のお悩みや疑問・不安などにお応えする機会を設けております。どんなことでも構いませんので、私たちにお話ししていただけたらと思います。
ご興味がある方は下記からお問い合わせください。

お問い合わせ・ご予約は

06-6866-8230
24時間WEB予約
  • 〒561-0851
    大阪府豊中市服部元町2-4-20
    Reflet服部元町1F
  • 「服部天神駅」より徒歩5分
    「曽根駅」より徒歩10分