安心・安全・短時間に配慮した親知らず抜歯
「親知らずが痛いけど、抜歯が怖くて踏み出せない」
「歯が埋まっていると言われ、不安が強くなってしまった」
といったお悩みを、当院では日々多く伺っています。
親知らずの抜歯は歯の生え方や位置によって難易度が大きく異なります。
特に歯ぐきの中に埋まっている「埋伏歯(まいふくし)」の場合は、切開や骨の処置が必要となるなど、高度な技術と的確な判断が求められます。
当院では、そのような複雑な症例にも幅広く対応できる体制を整えており、経験豊富な歯科医師が、痛みをできる限り抑えながら、短時間かつ安全に処置を行います。
親知らずに関する不安やお悩みをお持ちの方は、どうぞ安心してお気軽にご相談ください。
親知らずは抜くべきか残すべきか?
親知らずを抜歯するかどうかの判断基準で最も重要なのは、生え方や位置といった歯の状態です。斜めや横向きなど、まっすぐに生えていない親知らずは、隣の歯に悪影響を及ぼしたり、歯磨きが行き届かず虫歯や歯周病の原因になったりしやすいため、基本的には抜歯をおすすめするケースが多くなります。
一方で、真っ直ぐ生えていて噛み合わせに問題がなく、十分に清掃できている場合や、完全に埋まっている場合には、無理に抜かず経過観察を選択できることもあります。
親知らずの抜歯には一定のリスクが伴うため、当院では必要性が低いと判断されるケースで、無理に処置をすすめることはありません。「抜きたくない」「残すべきか判断に迷っている」という方も、患者さんの意思を尊重しながら、専門家として適切なアドバイスとサポートを行います。
また、セカンドオピニオンにも対応しておりますので、他院で抜歯を勧められた方も、疑問や不安があれば遠慮なくご相談ください。
親知らず抜歯の「メリット」「デメリット」
メリット
- 歯磨きがしやすくなり、虫歯・歯周病のリスクを下げやすい
- 磨き残しが減ることで、口臭の発生を抑えやすくなる
デメリット
- 術後に痛みや腫れが出ることがある
- 抜歯した部位の穴に食べ物が残りやすい
- 極めてまれに、舌や唇に一時的なしびれ(麻痺)が起こる可能性がある
抜歯後の不快な症状の多くは、通常1週間ほどで落ち着きます。総合的に見ると、問題のある親知らずを放置するほうが将来的なリスクは高い場合が多いといえます。もちろん、抜歯が不要なケースもありますので、まずは歯科医師と相談しながら慎重に判断していきましょう。
当院の親知らず治療が多くの患者さんに選ばれている理由
親知らずの治療は、「どの歯科医院で受けても同じ結果になる」というものではありません。歯科医師の技術力や経験値はもちろん、治療時の負担をできる限り軽減し、術後トラブルのリスクを抑えるための設備が、治療の安全性と満足度を大きく左右します。当院では、こうした点を重視し、安心して治療を受けていただける体制を整えています。
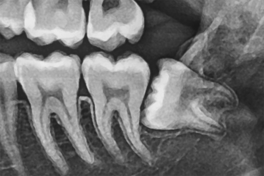
難易度の高い「水平埋伏歯」にも対応可能
横向きに生えている「水平埋伏歯」は、手前の歯を圧迫することで痛みや歯並びの乱れを引き起こし、虫歯や歯周病の原因になることがあります。
さらに、顎の骨や神経に近接しているケースも多く、抜歯には高度な技術と慎重な判断が求められます。
当院では、精密な診断と豊富な臨床経験をもとに、難症例とされる親知らずの抜歯にも対応しており、他院で治療が難しいと判断された場合でも、まずはご相談ください。
※親知らずが上顎洞や下顎管に近いなど、症例によっては大学病院に紹介させていただくケースもあります。
痛みを抑えるための「伝達麻酔」を採用
麻酔には、歯ぐきの一部を麻痺させる「浸潤(しんじゅん)麻酔」と、痛みを伝える神経そのものを遮断する「伝達麻酔」があります。一般的な虫歯治療では浸潤麻酔が用いられますが、神経が多く走行する下あごの親知らずでは、十分な効果が得られない場合があります。当院では伝達麻酔を適切に使用し、治療中の痛みを感じにくい状態を長時間維持することで、安心して処置を受けていただけるよう配慮しています。
「CT装置」による高精度な診断体制
親知らずの生え方は個人差が大きく、処置が比較的容易なケースから、神経や血管に近い難症例までさまざまです。特にリスクの高い症例では、事前の精密診断が不可欠となります。当院では、顎の状態を立体的に撮影できる「CT装置」を活用し、歯の位置や深さ、神経との距離を正確に分析しています。これにより、必要最小限の切開で安全性の高い治療が可能になります。
「パノラマレントゲン」による全体把握
パノラマレントゲンは、お口全体を1枚の画像として確認できる撮影方法で、親知らずの位置や向き、周囲の歯との関係を総合的に把握できます。特に下あごの親知らずは、下歯槽神経と呼ばれる重要な神経の近くにあることが多いため、抜歯前のリスク評価が非常に重要です。パノラマ撮影により、神経との距離や重なり具合を事前に確認し、より安全性の高い治療計画につなげています。
女性の方は妊娠前に親知らずの治療を済ませておきましょう
妊娠中は、ホルモンバランスの変化により虫歯や歯周病になりやすくなることをご存じでしょうか。その影響で、親知らず周辺の歯ぐきが腫れたり、突然強い痛みが出たりするケースも決して珍しくありません。
一方で、妊娠中の親知らずの抜歯は簡単ではありません。お腹の赤ちゃんへの影響を考慮する必要があるため、レントゲン撮影や麻酔、内服薬の使用などに制限がかかる場合があります。妊娠後に急な痛みや治療が必要になる事態を避けるためにも、可能であれば妊娠前の段階で親知らずの治療を済ませておくことをおすすめします。
親知らずに関するよくあるご質問(Q&A)
- 片側の親知らずを抜いた場合、反対側も抜いたほうがよいのでしょうか?
- 必ずしも両方を抜歯する必要があるわけではありません。ただし、片側の親知らずに痛みや炎症が出ている場合、反対側も同様に状態が悪化しているケースは少なくありません。実際に抜歯が必要かどうかは、お口の中の状態を確認したうえで、歯科医師と相談しながら判断していきます。
- 親知らずの影響で歯並びが悪くなることはありますか?
- 親知らずが横向きや斜めに生えている場合、手前の歯を押してしまい、その影響で歯並びに乱れが生じる可能性があります。状態によっては、将来的なトラブルを防ぐための対応が必要になることもあります。
- どのような親知らずでも抜歯に対応してもらえますか?
- 当院では、親知らずの抜歯に関して豊富な経験と実績があり、多くの症例に対応可能です。ただし、心臓病や糖尿病などの持病がある方、全身的なリスクが高い方、あるいは神経や血管を損傷する可能性が高いと判断されるケースでは、より高度な医療体制を備えた大学病院などをご紹介する場合があります。
初診「個別」相談へのご案内
当院では、患者さんが抱えていらっしゃるお口のお悩みや疑問・不安などにお応えする機会を設けております。どんなことでも構いませんので、私たちにお話ししていただけたらと思います。
ご興味がある方は下記からお問い合わせください。

- 〒561-0851
大阪府豊中市服部元町2-4-20
Reflet服部元町1F - 「服部天神駅」より徒歩5分
「曽根駅」より徒歩10分