日本補綴歯科学会「認定医」在籍
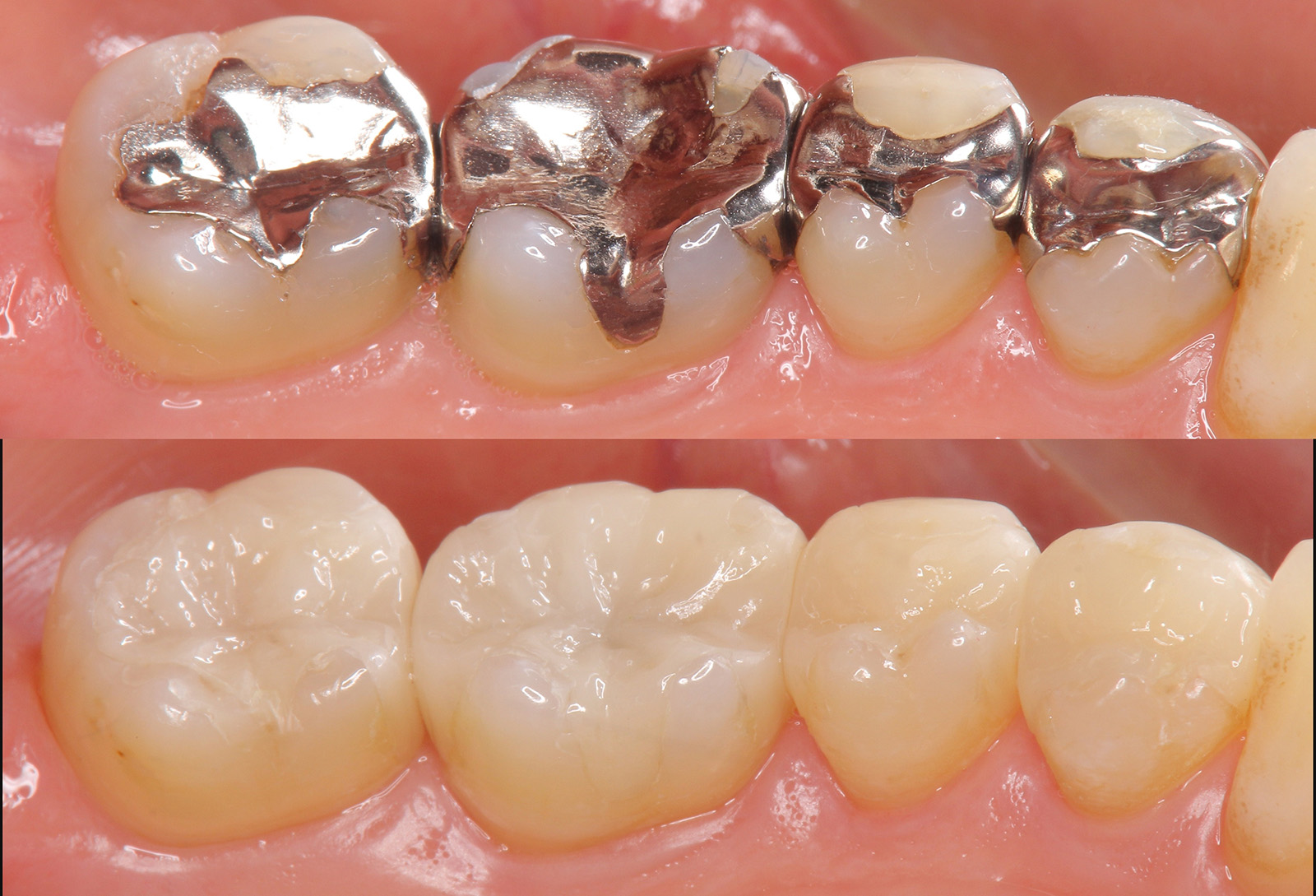
美しいだけでない
「噛める」白い歯へ
みやなが歯科の「審美治療」
審美治療は、美しいお口元を作り出すのが目的です。
しかし、歯はただ美しくすればいいわけではありません。当院のセラミック治療では、「美しく、しっかり噛める歯」を提供するのを目的としています。
以下、詳しくご紹介します。
身体に優しく、審美性に優れた素材
歯の治療では、さまざまな素材でできた人工歯(詰め物や被せ物など)をお口に装着します。しかし、その素材によっては「金属アレルギー」などの問題を引き起こすこともあります。
当院では、こういったリスクを軽減するために、身体に優しく、かつ審美性に優れた歯科素材を使用しています。当院で使用しているセラミック素材の一部をご紹介します。
ジルコニア
「ジルコニア」は、その美しい見た目と高い強度から「人工ダイヤモンド」とも呼ばれるセラミック素材です。この素材は完全に陶器でできているため、身体に優しく、保険治療で使われる銀歯のように金属イオンが溶け出す心配がありません。さらに、非常に高い耐久性を持っているため、特に食いしばる力が強い患者さんにおすすめの素材です。
e-max
「e-max」は、天然歯に近い透明感と高い強度を兼ね備えた、体に優しいオールセラミック素材です。 金属不使用のため見た目が美しく、被せ物や詰め物として高い人気を集めています。
コラム短期間で終わる白い詰め物「ダイレクトボンディング」
「ダイレクトボンディング」とは、歯の詰め物として「コンポジットレジン」という樹脂とセラミックを配合した材料を用いる治療法です。この材料は、すばやく硬化するため、短時間で治療を完了させることができます。自然な歯の色に近い仕上がりとなるのも魅力です。以下のような方には、特にダイレクトボンディングがおすすめです。
✅欠けた歯を低価格で手軽に修復したい方
✅小さな虫歯を早く治療したい方
✅気になる銀歯を白い詰め物に交換したい方
この治療法の大きな利点は、一度の来院で治療が完了する可能性が高いことです。ただし、大きな被せ物が必要な症例には適用できない場合もあります。詳細は当院までお問い合わせください。
コラム「光学スキャナ」による快適な型取り
セラミック治療では、被せ物や詰め物をつくるために「歯型の採取」が欠かせません。従来は「印象材」と呼ばれる粘土のような素材をお口に入れて、歯型を取るのが一般的でしたが、これには異物感があり、嘔吐反射のある方にとっては大きな負担でした。
そこで当院では、光学スキャナによるデジタル型取りを導入しています。これは、ペン型の小型カメラでお口の中をなぞるだけで、精密な歯型データが得られる技術です。
お口に大きな器具を入れる必要がないため、不快感やストレスが大幅に軽減され、嘔吐反射のある方や型取りが苦手な方でも、安心して治療を受けていただけます。
マイクロスコープ/高倍率ルーペによる精密治療
被せ物の治療では、歯と補綴物の間にわずかな隙間ができてしまうことがあります。この小さなズレが、虫歯の再発や被せ物の脱落につながることもあるため、精密な適合が求められます。
そこで当院では、マイクロスコープや高倍率ルーペを使用し、治療部位を拡大して確認しています。
視野が肉眼の数倍から十数倍にまで拡大されることで、歯と被せ物の境目や形状のわずかな凹凸まで視認することが可能になります。その結果、削る量や調整箇所を細かく見極められ、天然歯にぴったりと適合する被せ物を装着することができるのです。
一流の歯科技工士との連携
セラミックの詰め物や被せ物は、専門の「歯科技工士」が一つひとつ丁寧に作製しています。当院では、多数の歯科医師から高い評価を受けている歯科技工所で、美しさと機能性の両立を追求した技工物をご提供しています。
患者さんの理想のイメージとすり合わせる
患者さんが理想としている美しさを叶えるためには、治療の各段階でしっかりとイメージのすり合わせを行うことが大切です。
治療開始のカウンセリング
治療前のカウンセリングでは、患者さんが理想とする歯のイメージを詳しくお伺いします。
歯の色のサンプルや模型を使用し、具体的なイメージを共有することで、治療の方向性を確実に定めることができます。
模型を使ってイメージを共有する
患者さんの歯形を取り、模型を作製します。歯の形や配置の具体的なイメージを模型で確認したら、仮歯を作成し、お口に合わせて調整します。
このステップにより、最終的な仕上がりを事前に確認することができます。
神経を残す審美治療
審美セラミック治療では、セラミックの被せ物を装着するため、ご自身の歯を削る必要があります。被せ物を装着するためには歯を大きく削る必要があり、多くの場合、歯の神経を取る「抜髄」も行われます。
しかし、歯の健康を考えるなら、安易に神経を取るべきではありません。神経を失った歯は栄養を取り入れることが出来なくなり、次第に弱くなってしまうからです。
当院は、審美セラミック治療においても、可能な限り神経を取らない治療を心がけています。
※症例によっては、神経を残せないこともあります。
噛み合わせを調整する
セラミック治療は見た目の美しさだけでなく、しっかりとした噛み合わせも重要です。顎関節症などのトラブルを防ぐために、仮歯を装着して噛み合わせのチェックを行い、問題がないか確認します。
模型から仮歯(プロビジョナル・レストレーション)を製作し、実際に装着します。そのとき、見た目の美しさはもちろん、以下の点についても確認します。
- 噛み合わせに違和感がないか
- きちんと噛めるのか
- 耐久性が十分あるか
特に、噛み合わせは慎重にチェックをし、必要に応じて何度でも調整します。患者さんに納得していただけたら、仮歯をもとに最終的な被せ物を作ります。
要注意金属アレルギー/アマルガムへの対応
金属アレルギーは、アクセサリーなどの貴金属だけでなく「銀歯」などが原因で引き起こされることもあります。
🔴口内炎が長引いて治らない
🔴アトピー性皮膚炎がひどい
🔴原因不明の肌トラブルが続く
これらの症状は、金属アレルギーが原因かもしれません。思い当たる症状がある方は、一度ご相談ください。
当院では、金属アレルギーを引き起こさないメタルフリー素材を使用して、治療を行うことができます。
「アマルガム」の除去
1990年頃まで、「アマルガム」という金属が虫歯治療の詰め物として一般的に使用されていました。このアマルガムには水銀が含まれるため、身体への悪影響が懸念されています。
「水俣病」で有名な有機水銀ほどの強い毒性はないものの、頭痛やめまい、慢性的な疲労感など、さまざまな症状を引き起こす可能性があります。もしも原因不明の体調不良が続くという方は、自身の銀歯にアマルガムが使われていないか確を認してみてください。
当院ではアマルガムの除去、置き換え治療も行っております。気がかりのある方は、ぜひ一度ご相談にいらしてください。
初診「個別」相談へのご案内
当院では、患者さんが抱えていらっしゃるお口のお悩みや疑問・不安などにお応えする機会を設けております。どんなことでも構いませんので、私たちにお話ししていただけたらと思います。
ご興味がある方は下記からお問い合わせください。

- 〒561-0851
大阪府豊中市服部元町2-4-20
Reflet服部元町1F - 「服部天神駅」より徒歩5分
「曽根駅」より徒歩10分